

A única faceta que une resina com porcelana, estética natural com tecnologia digital.
É a revolução das lentes de contato dentais.


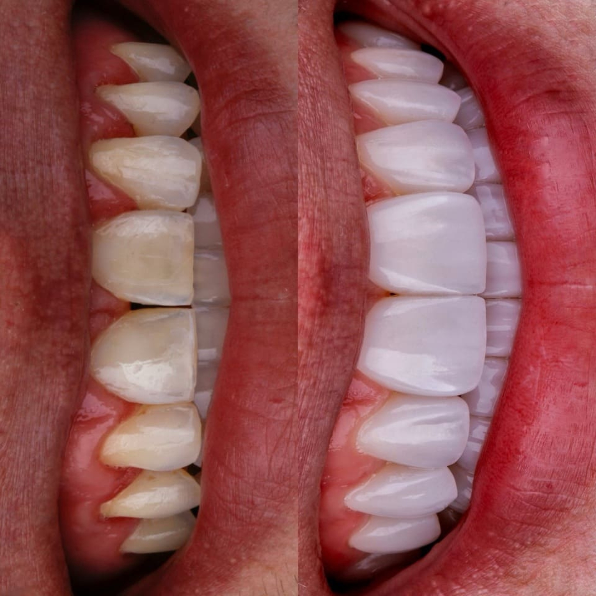
As lentes ou facetas híbridas são uma geração avançada das convencionais lentes de resina composta. Sua principal diferença está na composição do material, que combina resina de alta performance com nanopartículas de porcelana — daí o termo “híbrida”.
O resultado dessa fusão inovadora é o equilíbrio perfeito entre a leveza, a versatilidade e o custo-benefício das facetas de resina com a resistência, precisão e estética natural refinada das lentes de porcelana.
Ao contrário das facetas de resina direta, esculpidas manualmente sobre os dentes, as facetas híbridas são planejadas digitalmente e finalizadas em nosso próprio laboratório digital, com auxílio de tecnologias avançadas como escaneamento intraoral, design CAD e impressão 3D.
Isso permite um acabamento mais preciso, realista e personalizado — muito superior ao que se obtém em técnicas convencionais aplicadas diretamente na boca, no consultório.




Você vê o resultado antes. Pode provar e ajustar o que quiser. Só após sua aprovação as facetas são instaladas. Menos surpresa, mais certeza.
As lentes híbridas são planejadas com escaneamento 3D e design digital para um controle absoluto e precisão milimétrica do resultado.
Cada faceta híbrida é produzida fora da boca e só depois instalada sobre os dentes, num processo mais rápido, confortável e seguro.
A composição com nanopartículas de porcelana reforça a resistência das lentes, garantindo longa durabilidade.
Naturalidade do seu jeito: a cor, tamanho e formato das suas lentes são escolhidos por você.
Só a lente híbrida entrega o equilíbrio perfeito entre resistência, estética natural e custo-benefício. Ela combina o melhor da porcelana com o melhor da resina em uma solução única e completamente inovadora.


As facetas de resina híbrida se encaixam sobre os dentes naturais, permitindo corrigir imperfeições no formato, tamanho, cor e espaçamentos. O resultado é um sorriso renovado que eleva a autoestima, trazendo mais confiança e bem-estar.
Se algum dos problemas abaixo afeta a estética do seu sorriso, deixando-o inseguro com a própria imagem, então as lentes híbridas podem ser a solução ideal para o seu caso.
















Durante sua avaliação, nossas especialistas analisam cuidadosamente o seu caso, indicando o melhor plano de tratamento para alcançar o sorriso ideal com segurança.
Veja como é prático transformar seu sorriso em poucas consultas.


Tudo começa com uma avaliação clínica do seu caso. Com o uso de scanner intraoral, mapeamos toda sua estrutura dentária em um modelo digital 3D de alta precisão para traçarmos um diagnóstico seguro e o plano de tratamento mais indicado.


Nesta etapa, em nosso próprio laboratório interno, projetamos o design digital das suas lentes híbridas, seguido de impressões e modelagens 3D, acabamentos e refinamentos estéticos para garantir o resultado perfeito que você busca e merece.


Com tudo pronto, chegou a hora de poder ver e provar suas facetas híbridas. Nessa consulta, você irá analisar com calma cada detalhe do seu novo sorriso. Se necessário, ajustes são feitos para garantir sua total satisfação. Só após sua aprovação é feita a cimentação/instalação definitiva das lentes.


As facetas híbridas estão revolucionando a nova era da odontologia digital e a Blanvur é uma das principais referências e pioneiras em todo o Brasil no domínio dessa tecnologia.












Por ser um tratamento personalizado, o investimento pode variar de caso a caso, a depender da complexidade e necessidades específicas identificadas na consulta de avaliação. Ao nível de comparação, atualmente uma lente em porcelana de alta qualidade custa, em média, de R$ 2.500 a R$ 3.000 por dente, enquanto a lente híbrida pode ter custos até 5x menor, tornando-se uma opção de excelente custo-benefício pelo nível de qualidade que entrega.
Não. Cada caso é único, por isso as necessidades estéticas de um sorriso podem variar de um paciente para outro. Há casos com resultados incríveis com apenas 10 ou 8 facetas, geralmente nos dentes superiores que aparecem ao sorrir.
Com os cuidados adequados e acompanhamento periódico da saúde bucal, as facetas híbridas duram em média de 10 a 15 anos, ou até mais, mantendo estética, resistência e adaptação.
Por ser mais resistente, ela não requer uma frequência semestral de manutenção igual às resinas comuns. Na maioria dos casos, indicamos apenas uma consulta anual para limpeza, polimento e check-up geral da saúde bucal.
Na grande maioria dos casos, não há nenhum desgaste dentário. Quando necessário, é feito um preparo dental mínimo e conservador de até 1mm apenas para melhor encaixe/adaptação da lente sobre o dente.
Se executada corretamente, nenhuma lente deveria soltar. Mas, caso surja qualquer intercorrência por falha técnica na instalação, temos garantia em contrato que cobre a substituição ou reparo sem nenhum custo.
Nesse caso, fazemos todos os ajustes estéticos que você desejar — formato, cor, tamanho. Só instalamos as lentes de forma definitiva quando você estiver 100% seguro e satisfeito.
Sim. Após a colagem definitiva, a alimentação segue normalmente. Mas é importante manter cuidado com hábitos nocivos até mesmo para os dentes naturais, como roer unhas, abrir tampa de garrafa ou morder alimentos muito duros.
As facetas híbridas são feitas com resina nanohíbrida de alta performance, com cerca de 60% de carga cerâmica. Com os devidos cuidados, são altamente resistentes e duráveis, especialmente quando comparadas às facetas convencionais.
Sim. Por serem aplicadas com mínimo ou nenhum preparo dentário, é possível remover ou substituir as facetas de forma segura, se necessário.